دررفتگی کشکک یعنی چی؟

دررفتگی کشکک یعنی چی؟

دررفتگی کشکک زانو آسیب دردناکی است که در آن استخوان کاسه زانو (کشکک) از جایگاه طبیعی خود در شیار انتهای استخوان ران خارج می شود. این آسیب معمولا به دنبال یک چرخش ناگهانی زانو یا وارد آمدن ضربه مستقیم رخ میدهد و باعث درد شدید، تورم فوری و تغییر شکل آشکار زانو میگردد. برای تشخیص دقیق و درمان موثر این آسیب، مراجعه به یک دکتر ارتوپد در مشهد یا شهرهای دیگر که متخصص مشکلات زانو باشد، ضروری است.

این آسیب ممکن است برای هر فردی رخ دهد، اما در بین جوانان و ورزشکاران شایعتر است. آگاهی از ساختار زانو، علل بروز این آسیب، نشانه ها و راههای درمان آن، گام مهمی برای پیشگیری و مدیریت صحیح این مشکل است.

شاید این مقاله هم برات جالب باشد: انحراف زانو به چه معناست؟

ساختار کشکک

آشنایی با ساختار کشکک

برای درک این آسیب، ابتدا باید با ساختار کشکک آشنا شوید:

  • ساختار کشکک: کشکک یا کاسه زانو، یک استخوان کوچک مثلثی شکل است که در داخل تاندون عضله چهارسر ران قرار دارد و در جلوی زانو لمس میشود. پشت این استخوان پوشیده از غضروف است و درون یک شیار در انتهای استخوان ران قرار میگیرد که به آن “شیار کشککی” می گویند. وظیفه اصلی کشکک، محافظت از جلوی مفصل زانو و افزایش اهرم نیروی عضله چهارسر برای صاف کردن زانو است.
  • مکانیسم آسیب: دررفتگی زمانی اتفاق می افتد که این استخوان به طور کامل از شیار خود خارج شود. در بیشتر موارد، کشکک به سمت بیرون زانو جابجا میشود. گاهی اوقات نیز کشکک پس از دررفتگی، به طور خودبه خود به جایگاه اصلی باز میگردد که به آن “دررفتگی گذرا” میگویند.

شاید این مقاله هم برات جالب باشد: زانوی من قفل می شود علت چیست؟

کشکک زانو

خطر دررفتگی کشکک؛ علل و عوامل آن

علل و عوامل متعددی می توانند فرد را مستعد این آسیب کنند:

علل مستقیم

  • ضربه مستقیم: یک نیروی ناگهانی به کنار یا جلوی زانو، مانند یک تکل ورزشی، زمین خوردن یا تصادف رانندگی می تواند کشکک را از جای خود خارج کند.
  • پیچش ناگهانی: تغییر جهت ناگهانی حین دویدن یا ورزش، در حالی که کف پا ثابت روی زمین است، میتواند باعث دررفتگی شود. این مکانیسم در ورزشهایی مانند فوتبال و بسکتبال شایع است.

عوامل مستعد کننده

برخی از افراد به دلیل ویژگی های فیزیکی خاص، بیشتر در معرض خطر دررفتگی کشکک قرار دارند:

  • عدم تعادل عضلانی:ضعف عضله “واستوس مایل” در سمت داخلی ران و سفتی ساختارهای بیرونی زانو میتواند باعث کشیده شدن کشکک به سمت بیرون شود.
  • زاویه Q بزرگ: زاویه بین لگن و زانو در زنان به طور طبیعی بزرگتر از مردان است. اگر این زاویه بیش از حد بزرگ باشد، کشش جانبی روی کشکک افزایش یافته و خطر دررفتگی بیشتر میشود.
  • شیار کم عمق:در برخی افراد، شیار استخوان ران که کشکک در آن قرار میگیرد، به اندازه کافی عمیق نیست و کشکک به راحتی میتواند از آن خارج شود.
  • شلی رباط ها: افرادی که به طور کلی ربات های شلی در بدن دارند، مستعد این آسیب هستند.
  • سابقه آسیب قبلی: افرادی که حتی یک بار دچار دررفتگی کشکک شده اند، به دلیل آسیب به بافتهای تثبیت کننده (به خصوص رتیناکولوم داخلی)، در معرض خطر بسیار بالاتری برای دررفتگی های مکرر قرار دارند.

علائم و نشانه های دررفتگی کشکک

اگر دچار دررفتگی کشکک شوید، معمولا بلافاصله متوجه آن خواهید شد. علائم شامل موارد زیر است:

  • درد شدید و ناگهانی: دردی تیز و غیرقابل تحمل در جلوی زانو احساس میشود.
  • تغییر شکل آشکار: زانو ظاهری عجیب پیدا میکند و برآمدگی در سمت بیرونی زانو دیده میشود، زیرا کشکک از جای خود خارج شده است.
  • تورم سریع: ناحیه جلوی زانو به سرعت ورم میکند.
  • محدودیت حرکتی: فرد معمولا نمیتواند زانوی خود را خم یا راست کند و در راه رفتن ناتوان است.
  • احساس خالی کردن زانو: زانو احساس ناپایداری میکند و فرد می ترسد که زانویش زیر بدنش بشکند.
  • صدا: گاهی اوقات در لحظه آسیب، صدای “تق” یا “پاپ” شنیده می شود.

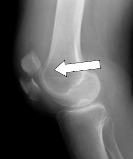
تشخیص دررفتگی کشکک

پزشک متخصص ارتوپد برای تشخیص این آسیب، مراحل زیر را طی میکند:

  • معاینه فیزیکی: پزشک زانو را از نظر تغییر شکل، تورم، حساسیت به لمس و دامنه حرکتی بررسی میکند. یک تست معروف به نام “تست وحشت” انجام میدهد؛ در این تست، پزشک سعی میکند کشکک را به سمت بیرون فشار دهد. اگر بیمار دچار ترس و وحشت شده و مانع شود، نشاندهنده ناپایداری کشکک است.
  • تستهای تصویربرداری:
    • رادیوگرافی (اشعه ایکس): برای تایید دررفتگی، بررسی موقعیت کشکک و رد کردن شکستگی های همراه استفاده میشود.
    • ام آر آی (MRI): این روش برای بررسی دقیق آسیب به بافتهای نرم مانند پارگی رباطها، آسیب غضروف پشت کشکک و پارگی “رتیناکولوم داخلی” بسیار مفید است.

درمان دررفتگی کشکک

 درمان این آسیب به شدت آن و سابقه قبلی بیمار بستگی دارد.

درمان غیر جراحی

این روش معمولاً برای دررفتگی های اولیه به کار میرود و شامل مراحل زیر است:

  • جااندازی: پزشک با یک مانور ملایم، کشکک را به جایگاه اصلی خود باز می گرداند. این کار اغلب بدون نیاز به بیهوشی انجام میشود.
  • بی حرکتی: پس از جااندازی، زانو برای چند هفته (معمولاً ۳ تا ۶ هفته) با بریس یا گچ بیحرکت میشود تا بافتهای آسیب دیده فرصت ترمیم پیدا کنند.
  • فیزیوتراپی: پس از دوره بی حرکتی، فیزیوتراپی مهمترین بخش درمان است. هدف از فیزیوتراپی، کاهش درد و تورم، بازیابی دامنه حرکتی و تقویت عضلات، به ویژه عضله “واستوس مایل” است.

درمان جراحی

در موارد زیر عمل جراحی توصیه میشود:

  • دررفتگی های مکرر: اگر کشکک بارها و بارها در برود.
  • آسیبهای همراه: وقتی قطعه ای از استخوان یا غضروف به دنبال دررفتگی کنده شده باشد.
  • ناپایداری شدید: زمانی که ساختارهای نگهدارنده کشکک به شدت آسیب دیده باشند.
    روشهای جراحی مختلفی وجود دارد که از جمله آنها می توان به آزاد کردن بافت های سفت بیرونی، سفت کردن بافت های شل داخلی و تصحیح راستای کشکک اشاره کرد.
آرتروز مفصل کشککی-رانی

شاید این مقاله هم برات جالب باشد: چرا زانوی من قرچ قرچ می‌کند؟

عوارض بلندمدت و پیشگیری

درصورت درمان نادرست یا تکرار آسیب، عوارضی ممکن است رخ دهد:

  • آرتروز مفصل کشککی-رانی: با هر بار دررفتگی، غضروف پشت کشکک آسیب می بیند و این امر در دراز مدت میتواند منجر به ساییدگی و آرتروز این مفصل شود.
  • بی ثباتی مزمن: زانو ممکن است به طور مکرر احساس ناپایداری کرده و “خالی کند”.
  • درد مزمن زانو: ممکن است به ویژه در حالت نشسته طولانی مدت یا هنگام بالا و پایین رفتن از پله ها درد احساس شود.

برای پیشگیری، تقویت عضلات اطراف زانو به ویژه عضله چهارسر ران و اصلاح الگوهای حرکتی نادرست در ورزش بسیار حائز اهمیت است.

دررفتگی کشکک زانو یک آسیب جدی است که نیاز به پیگیری دقیق دارد. در صورت تجربه علائم این آسیب، برای تشخیص قطعی و دریافت برنامه درمانی مناسب، حتما به یک متخصص ارتوپد مراجعه کنید. دکتر افشاریان بهترین متخصص ارتوپد در مشهد است که با تکیه بر دانش و تجربه چندین ساله بهترین روش های درمانی را برای بیماران در نظر میگیرد.

دیدگاهتان را بنویسید

نشانی ایمیل شما منتشر نخواهد شد. بخش‌های موردنیاز علامت‌گذاری شده‌اند *

کليه حقوق مادی و معنوی اين سايت متعلق به دکتر عبدالرضا افشاریان ميباشد | طراحی سايت و سئو توسط آژانس دیجیتال مارکتینگ پارس وب

روزهای پذیرش بیماران شنبه، دوشنبه و چهارشنبه از ساعت 16 تا 21

شماره مطب

051-38599199

شماره اورژانسی

09151130343