کدام شکستگی‌های مچ دست را باید جراحی کنیم؟

کدام شکستگی‌های مچ دست را باید جراحی کنیم؟

مچ دست یکی از شایع‌ترین نواحی شکستگی در اندام فوقانی است. هرچند در این مفصل انواع مختلفی از آسیب‌های استخوانی دیده می‌شود، ولی بیشترین موارد مربوط به شکستگی انتهای استخوان رادیوس (زند زبرین) است. وقتی صحبت از «جراحی شکستگی مچ» می‌شود، معمولا منظور مواردی است که قطعات استخوانی به حدی جابجا یا ناپایدار هستند که تنها با گچ گرفتن قابل درمان نیستند.

شکستگی مچ

در این مطلب به انواع شکستگی‌های مهم مچ دست و شرایطی که بیمار نیازمند عمل جراحی می‌شود می‌پردازیم.

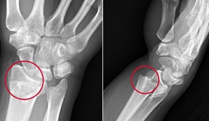
شکستگی کالیس؛ شایع ولی گاهی نیازمند جراحی

شکستگی کالیس بیشتر در افراد بالای ۴۰ سال، خصوصا زنان با پوکی استخوان رخ می‌دهد. در این آسیب، قطعه شکسته شده به سمت پشت و بیرون حرکت می‌کند و مچ حالت «چنگالی» پیدا می‌کند.

جراح ارتوپد دست

درمان اولیه معمولاً جااندازی بسته و گچ‌گیری است.

اما در مواردی که جابجایی شدید باشد، شکستگی خرد شده باشد یا گچ قادر به نگه‌داشتن استخوان نباشد، جراحی با پین‌گذاری، فیکساتور خارجی یا پلاک ضروری است.

شکستگی اسمیت؛ معکوس کالیس و پرخطرتر

در این شکستگی قطعه شکسته شده به طرف کف دست منحرف می‌شود. مکانیسم ایجاد آن زمین خوردن روی پشت دست است. به دلیل بی‌ثباتی بیشتر این شکستگی نسبت به کالیس، احتمال نیاز به جراحی بالاتر است. اگر جااندازی بسته موفق نباشد یا قطعات دوباره جابجا شوند، عمل جراحی برای تثبیت با پیچ و پلاک انجام می‌شود.

شکستگی زائده نیزه‌ای؛ شکستگی داخل مفصلی

شکستگی در ناحیه زائده استیلوئید رادیوس نوعی آسیب داخل مفصلی محسوب می‌شود. اگر جااندازی دقیق صورت نگیرد، بیمار در آینده با آرتروز مچ مواجه خواهد شد. در اکثر بیماران، جراحی برای تثبیت با پین یا پیچ توصیه می‌شود تا مفصل در وضعیت صحیح جوش بخورد.

شکستگی ـ دررفتگی بارتون؛ همیشه ناپایدار

این آسیب ترکیبی از شکستگی رادیوس و دررفتگی مفصل مچ است. به دو نوع خلفی (دورسال) و قدامی (ولار) تقسیم می‌شود. تقریباً همه‌ی این شکستگی‌ها بی‌ثبات هستند و درمان استاندارد آن‌ها جراحی باز و تثبیت با پلاک است.

شکستگی صفحه رشد در کودکان

در نوجوانان که صفحه رشد فعال دارند، شکستگی‌های مچ دست می‌تواند صفحه رشد را درگیر کند. اگر شکستگی جابجایی خفیف داشته باشد، جااندازی بسته و گچ‌گیری کافی است. اما در موارد جابجایی شدید یا آسیب به سطح مفصلی، جراحی با پین برای پیشگیری از اختلال رشد آینده ضرورت دارد.

جراحی شکستگی مچ دست

چه زمانی مچ دست باید جراحی شود؟

  • جابجایی زیاد یا بدجوش خوردن قطعات
  • شکستگی‌های خرد شده و ناپایدار
  • آسیب‌های داخل مفصلی (مثل استیلوئید یا بارتون)
  • درگیری صفحه رشد با جابجایی شدید
  • همراهی شکستگی با دررفتگی مچ

مدت زمان درمان پس از جراحی

معمولا استخوان مچ دست در بزرگسالان طی ۶ هفته جوش می‌خورد. پس از جراحی یا گچ‌گیری، بیمار برای بازگشت دامنه حرکتی نیازمند ۱ تا ۲ ماه فیزیوتراپی و تمرینات تخصصی است.

شناخت آناتومی مچ دست و اهمیت آن در شکستگی‌ها

مچ دست از اتصال دو استخوان ساعد (رادیوس و اولنا) با هشت استخوان کوچک کارپال تشکیل می‌شود. این مفصل به دلیل ساختار پیچیده و تحرک زیاد، مستعد آسیب است. شایع‌ترین شکستگی، شکستگی انتهای دیستال رادیوس است که معمولاً بر اثر زمین خوردن روی دست باز شده ایجاد می‌شود. شکستگی‌ها به انواع مختلف تقسیم می‌شوند:

  • داخل مفصلی: خط شکستگی وارد مفصل می‌شود.
  • خارج مفصلی: مفصل درگیر نیست.
  • باز: استخوان از پوست بیرون زده است.
  • و در نهایت خرد شده: استخوان به چندین تکه شکسته است.

شناخت دقیق این دسته‌بندی برای تصمیم‌گیری درمانی بسیار مهم است، زیرا هر نوع شکستگی رویکرد درمانی متفاوتی نیاز دارد. به عنوان مثال، یک شکستگی ساده و بدون جابجایی معمولاً با گچ‌گیری درمان می‌شود، اما شکستگی داخل مفصلی جابجا شده به احتمال زیاد جراحی می‌خواهد.

درمان غیر جراحی؛ چه زمانی کافی است؟

همه شکستگی‌ها نیاز به جراحی ندارند. در شکستگی‌های بدون جابجایی یا پایدار، می‌توان با جااندازی بسته و سپس گچ‌گیری یا آتل‌بندی استخوان را بهبود داد. این درمان بیشتر برای بیماران مسن یا شکستگی‌های ساده توصیه می‌شود. معمولاً دوره بی‌حرکتی حدود ۴ تا ۶ هفته طول می‌کشد تا استخوان جوش بخورد. در این مدت لازم است بیمار از دست خود محافظت کند و مراقب باشد فشار یا ضربه به مچ وارد نشود. پس از باز کردن گچ، ممکن است خشکی و ضعف عضلات ایجاد شود، بنابراین فیزیوتراپی و تمرینات حرکتی برای بازگشت دامنه حرکتی طبیعی ضروری است. به طور کلی اگر شکستگی پس از جااندازی پایدار بماند و معیارهای رادیولوژیک مناسب باشد، نیازی به جراحی نخواهد داشت.

شکستگی‌های خاص

شکستگی‌های ناپایدار و جابجا شده؛ اصلی‌ترین دلیل جراحی

یکی از مهم‌ترین دلایل جراحی شکستگی مچ دست، جابجایی شدید قطعات استخوانی یا ناپایداری شکستگی است. اگر استخوان‌ها به خوبی در کنار هم قرار نگیرند یا پس از جااندازی مجدداً جابجا شوند، مچ دست عملکرد طبیعی خود را از دست می‌دهد. معیارهای علمی برای تصمیم‌گیری شامل: کوتاه شدن استخوان رادیوس بیش از ۳ میلی‌متر، زاویه‌دار شدن بیش از ۱۰ درجه، و وجود پله بیش از ۲ میلی‌متر در سطح مفصل است. این تغییرات باعث درد طولانی‌مدت و آرتروز زودرس می‌شوند. در افراد جوان و فعال، حتی تغییرات کوچک نیز اهمیت دارند زیرا در آینده روی قدرت و دامنه حرکتی دست تأثیر مستقیم می‌گذارند. در این شرایط جراحی بهترین راه‌حل برای بازگرداندن وضعیت طبیعی استخوان است.

شکستگی‌های داخل مفصلی؛ چرا نیاز به بازسازی دقیق دارند؟

وقتی شکستگی وارد سطح مفصل مچ دست شود، دقت در بازسازی اهمیت بسیار بالایی دارد. حتی یک ناهمواری کوچک (بیش از ۲ میلی‌متر) می‌تواند موجب سایش غیرطبیعی مفصل، درد مداوم، کاهش دامنه حرکتی و آرتروز زودرس شود. در بسیاری از این موارد، تنها راه‌حل مؤثر، جراحی با جااندازی باز و تثبیت با پیچ و پلاک است تا سطح مفصل کاملاً صاف و طبیعی بازسازی شود. برای برنامه‌ریزی دقیق جراحی، گاهی از سی‌تی اسکن استفاده می‌شود تا محل و تعداد قطعات شکستگی به‌خوبی مشخص شود. اگر درمان صحیح صورت نگیرد، بیمار در آینده دچار مشکلات مزمن خواهد شد و حتی ممکن است به جراحی‌های پیچیده‌تر مانند تعویض مفصل یا فیوژن (خشک کردن مفصل) نیاز پیدا کند.

شکستگی‌های داخل مفصلی

شکستگی‌های باز؛ اورژانس جراحی ارتوپدی

یکی از شرایطی که همیشه نیاز به جراحی دارد، شکستگی باز است. در این نوع شکستگی، استخوان از پوست بیرون زده یا پوست به شدت پاره شده و استخوان با محیط بیرون تماس پیدا می‌کند. در این حالت، خطر عفونت شدید، استئومیلیت (عفونت استخوان) و نکروز بافت‌ها بسیار بالاست. بنابراین درمان باید سریع و اورژانسی انجام شود. جراحی شامل شستشوی کامل (دبریدمان)، پاکسازی بافت‌های آلوده و مرده و سپس تثبیت شکستگی است. گاهی لازم است از فیکساسیون خارجی استفاده شود تا هم شکستگی ثابت شود و هم امکان مراقبت از زخم باز فراهم گردد. تاخیر در درمان می‌تواند پیامدهای جبران‌ناپذیری برای بیمار داشته باشد.

شکستگی‌های خاص که معمولاً نیاز به جراحی دارند

برخی شکستگی‌ها به دلیل ماهیت خاص خود تقریباً همیشه نیازمند جراحی هستند.

شکستگی مچ دست
  • شکستگی بارتون (Bartons fracture): شکستگی-دررفتگی داخل مفصلی است که به دلیل ناپایداری بالا معمولاً با پیچ و پلاک درمان می‌شود.
  • شکستگی شوفِر (Chauffeurs fracture): شکستگی زائده استیلوئید رادیوس است که اغلب نیاز به بازسازی دقیق دارد.
  • شکستگی اسمیت (Smiths fracture): جابجایی قطعه استخوانی به سمت کف دست باعث بی‌ثباتی می‌شود و اغلب جراحی لازم است.
  • شکستگی اسکافوئید (Scaphoid fracture): به دلیل خون‌رسانی ضعیف استخوان، خطر جوش نخوردن یا نکروز آواسکولار بالاست. حتی شکستگی‌های کوچک اسکافوئید در برخی بیماران باید با پیچ کانولیتد تثبیت شوند تا از عوارض جدی جلوگیری گردد.

روش‌های جراحی شکستگی مچ دست

روش جراحی به نوع و شدت شکستگی بستگی دارد:

  • پین‌گذاری از راه پوست (K-wire): پس از جااندازی بسته، پین‌ها از روی پوست وارد استخوان شده و قطعات را نگه می‌دارند. این روش کم‌تهاجمی است اما برای شکستگی‌های پایدار مناسب‌تر است.
  • جااندازی باز و فیکساسیون داخلی(ORIF): پرکاربردترین روش است که با استفاده از پلاک و پیچ شکستگی تثبیت می‌شود. این روش بهترین بازسازی آناتومیک را فراهم می‌کند.
  • فیکساسیون خارجی(External fixator): برای شکستگی‌های خرد شده یا همراه با آسیب شدید بافت نرم استفاده می‌شود. قاب فلزی بیرونی اجازه می‌دهد تا استخوان بدون فشار به بافت نرم تثبیت شود.

انتخاب روش به تصمیم جراح، وضعیت شکستگی و شرایط عمومی بیمار بستگی دارد.

نقش سن و سطح فعالیت بیمار در تصمیم‌گیری

تصمیم به جراحی تنها بر اساس عکس رادیوگرافی نیست؛ سن، شغل و سطح فعالیت بیمار نیز بسیار مهم هستند. در یک فرد جوان و ورزشکار، حتی جابجایی جزئی می‌تواند در آینده بر عملکرد دست تأثیر منفی بگذارد و جراحی برای بازگرداندن آناتومی دقیق توصیه می‌شود. در مقابل، در یک فرد مسن با پوکی استخوان یا فردی که فعالیت‌های سنگین انجام نمی‌دهد، ممکن است درمان غیرجراحی کفایت کند، حتی اگر استخوان‌ها کمی تغییر شکل داشته باشند. بنابراین، درمان شکستگی باید فردمحور باشد و تصمیم‌گیری برای هر بیمار بر اساس شرایط خاص او صورت گیرد.

بهبودی و توانبخشی پس از جراحی

هدف از جراحی، ایجاد ثبات استخوانی کافی برای شروع حرکات زودهنگام است. پس از جراحی، بیمار معمولاً مدتی در آتل یا گچ کوتاه قرار می‌گیرد، اما به محض اجازه جراح باید حرکات انگشتان و مچ را شروع کند تا از خشکی مفصل جلوگیری شود. نقش فیزیوتراپی و کاردرمانی (Hand therapy) در این مرحله بسیار حیاتی است، زیرا به بازگرداندن دامنه حرکتی، کاهش تورم و تقویت عضلات کمک می‌کند. بهبودی کامل معمولاً بین ۳ تا ۱۲ ماه زمان می‌برد. همکاری بیمار با تیم درمانی، انجام تمرینات و رعایت دستورات پزشکی، تأثیر مستقیم بر کیفیت نهایی عملکرد مچ دست دارد.

✅جمع بندی

 شکستگی‌های پایدار و بدون جابجایی اغلب با گچ‌گیری درمان می‌شوند، اما شکستگی‌های ناپایدار، داخل مفصلی جابجا شده، باز، یا انواع خاص مثل اسکافوئید معمولاً نیازمند جراحی هستند. تصمیم‌گیری باید بر اساس ترکیب عوامل تصویربرداری، بالینی و شرایط فردی بیمار انجام شود. مشاوره با یک جراح ارتوپد دست بهترین راه برای انتخاب درمان مناسب و پیشگیری از عوارض طولانی‌مدت است.

دیدگاهتان را بنویسید

نشانی ایمیل شما منتشر نخواهد شد. بخش‌های موردنیاز علامت‌گذاری شده‌اند *

کليه حقوق مادی و معنوی اين سايت متعلق به دکتر عبدالرضا افشاریان ميباشد | طراحی سايت و سئو توسط آژانس دیجیتال مارکتینگ پارس وب

روزهای پذیرش بیماران شنبه، دوشنبه و چهارشنبه از ساعت 16 تا 21

شماره مطب

051-38599199

شماره اورژانسی

09151130343